09 218 8988 info@mydentist.nz

White Fillings

Fillings are common and most people need one at some stage in their lives. It’s nothing to be ashamed of, and here at My Dentist, we aim to restore your teeth so they’re good as new while making you feel as comfortable as possible.

So what is a filling? A filling is a dental treatment that fixes a hole in a tooth caused by decay. After it’s been determined you need a filling, the dentist will usually numb the tooth. When the tooth is numbed, we’ll use a dental drill and other instruments to remove the decay. Once prepared, we’ll place the filling.

White fillings, also known as composite or synthetic white fillings, are one of the best options to use on your teeth. We color-match the filling to match your smile so no one is the wiser that it’s a filling. Another perk is white composite fillings typically need less drilling preparation and can bond weak teeth.

The process:

  1. Assess – We determine whether your toothache is a cavity, or whether there are other signs of decay
  2. Numb – We numb the area around your tooth to make you as comfortable as possible during the procedure
  3. Remove – We gently and safely remove the decay away
  4. Fill – We insert the white composite filling so it sits comfortably in your mouth.

If you would prefer another type of filling such as amalgam or porcelain, please do let us know and we’ll see what we can do to accommodate you.

For added comfort, we can offer IV sedation. This common and safe option gives you a state of deep relaxation and often temporary amnesia, making you feel as though you slept through the procedure.

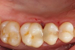
Before

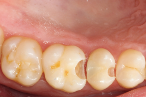
After

We'll take care of your smile

We've made booking an appointment nice and easy for you. Click the button below to book online. 

What Our Patients Say

Frequently Asked Questions

1. How long do white fillings last?

With good oral hygiene and regular check-ups, white (composite) fillings typically last 7–10 years or more. Their lifespan depends on the size of the filling, where it’s placed in your mouth, and how well you care for your teeth.

2. Are white fillings as strong as silver (amalgam) fillings?

Our modern, high-quality composite materials are very durable and can withstand everyday chewing. For small to medium cavities, they are just as strong as amalgam. For very large fillings, your dentist may recommend a porcelain filling or dental crown for extra strength.

3. Do white fillings hurt?

No. The tooth and surrounding area are numbed with a local anaesthetic, so you should only feel pressure, not pain. If you are anxious, we also offer IV sedation to make the experience even more comfortable.

4. Can I replace my old silver fillings with white ones?

Yes. Many patients choose to replace old amalgam (metal) fillings with white composite for a more natural look. At My Dentist, we can safely remove your old fillings and replace them with tooth-coloured alternatives.

5. Are white fillings safe?

Yes. White fillings are mercury-free and made from a safe, tooth-coloured resin that bonds directly to the tooth structure. They are widely used across New Zealand and internationally.

6. How much do white fillings cost?

Costs vary depending on the size and location of the cavity. White fillings start from $290 per filling. At My Dentist, we’ll always provide a clear quote before treatment.

7. Does ACC cover fillings in New Zealand?

ACC usually only covers dental fillings if the tooth damage is a result of an accident or injury, not from decay. We can advise you if your situation may qualify.

8. How soon can I eat after getting a white filling?

You can usually eat as soon as the anaesthetic wears off (within 1–2 hours). Avoid chewing hard foods on the treated tooth immediately, as it may feel slightly sensitive for a few days.

9. Will my tooth be sensitive after a white filling?

Some patients notice temporary sensitivity to hot or cold foods for a few days or weeks after treatment. This usually settles on its own, but if it persists, contact us for a review.

10. Can white fillings be whitened?

No. Teeth whitening treatments only work on natural enamel, not fillings. If you are planning a whitening treatment, it’s best to do that first, then have your fillings colour-matched to your new tooth shade.

11. Do white fillings stain over time?

Yes, white fillings can pick up stains from coffee, tea, wine, or smoking, just like natural teeth. Regular dental cleans and good oral care will keep them looking their best.

We'll take care of your smile

We've made booking an appointment nice and easy for you. Click the button below to book online.